Lấy nhân mụn chuẩn Y khoa
- Lấy mụn bằng tăm bông vô khuẩn
- Loại bỏ nhanh cồi mụn, tế bào chết
- Hạn chế tối đa sẹo thâm, sẹo rỗ
- Ngăn ngừa mụn mới hình thành
- Rút ngắn thời gian điều trị mụn
Cảnh báo: Hơn 90% mụn viêm bắt đầu từ mụn ẩn, mụn đầu đen và mụn đầu trắng do tự điều trị sai cách.
Vậy, không nặn mụn có tự hết không?
Mụn như thế nào thì nên nặn?
Thực tế, hầu hết các loại mụn đều có thể tự hết mà không cần nặn. Tuy nhiên, bạn sẽ cần nhiều thời gian (vài ngày thậm chí vài tháng) để các nốt mụn tự giảm sưng và biến mất. Riêng với các loại mụn nằm sâu dưới da thì chúng không tự biến mất .
Sau đây là các loại mụn nên nặn
Mụn ẩn, mụn cám liti
Gây sần sùi, bít tắc nang lông, da kém mịn màng. Đặc biệt làm lớp trang điểm dễ bị mốc nền, thiếu tự nhiên.
Mụn đầu đen và đầu trắng
Nhân mụn đã "già", bít tắc lâu ngày khiến lỗ chân lông ngày càng giãn nở rộng.
Mụn viêm đã chín, gom cồi
Không còn sưng đau, đã gom cồi rõ. Đây là lúc cần kỹ thuật chuyên nghiệp để lấy sạch mà không gây thâm.
Lưu ý: Tuyệt đối không được tự ý nặn "Mụn viêm cấp, mụn mủ, mụn nang".
Có nên nặn mụn tại nhà không?
Khác biệt lớn nhất ở kỹ thuật và quy trình
Tự nặn/ dán/ chấm mụn
ngay tại nhà
-
Không kiểm soát lực
-
Dụng cụ không vô khuẩn
-
Dễ tổn thương nang lông
-
Nguy cơ thâm và sẹo cao
Lấy nhân mụn
tại phòng khám da liễu
-
Kiểm soát lực và hướng lấy
-
Dụng cụ vô khuẩn, chỉ dùng 1 lần
-
Giảm nguy cơ viêm nhiễm, lây lan
-
Da hồi phục nhanh và ổn định hơn
Lấy mụn đúng cách là bước hỗ trợ quan trọng trong điều trị mụn (không viêm và mụn viêm nhẹ).
Lấy nhân mụn tại O2 SKIN có gì khác?
Không lấy đại trà - không làm quá tay
Chỉ lấy "đúng loại mụn, kỹ thuật & quy trình"


-
Lấy mụn bằng tăm bông vô khuẩn (chỉ sử dụng 1 lần)
-
Thực hiện bởi điều dưỡng giàu kinh nghiệm, chăm sóc 8-10 khách/ ngày (mang lại cảm giác êm ái)
-
Bác sĩ O2 SKIN đánh giá trước và theo dõi sau đó
-
Hạn chế tối đa tổn thương và hồi phục da ổn định
Quy trình lấy nhân mụn chuẩn Y khoa
tại phòng khám O2 SKIN
Thay vì chịu đau rát, sưng đỏ hay để lại thâm sẹo khi tự nặn mụn, bạn hãy thử ngay “Quy trình nặn mụn” tại O2 SKIN giúp hạn chế tối đa các biến chứng và ngừa mụn mới nổi. Ngoài ra, bạn còn được Bác sĩ/ Dược sĩ tư vấn cách chăm sóc da khoa học tại nhà.
Các bước nặn mụn tại O2 SKIN
1️⃣ Thăm khám và soi da
Bác sĩ đánh giá loại mụn, vùng có thể xử lý (không lấy tràn lan).
2️⃣ Chuẩn bị và làm sạch da
Tẩy trang - rửa mặt - làm sạch sâu.
3️⃣ Xông hơi và làm mềm da
Giúp nhân mụn dễ lấy hơn, giảm đau rát.
4️⃣ Sát khuẩn vùng da
Giảm nguy cơ nhiễm trùng, ngăn ngừa mụn lây lan.
5️⃣ Lấy mụn tăm bông
Kiểm soát lực - đúng hướng - hạn chế tối đa hư tổn da.
6️⃣ Sát khuẩn lại và lưu hình theo dõi
Đánh giá phản ứng da sau khi lấy nhân mụn.
7️⃣ Hỗ trợ làm dịu và phục hồi
Tùy tình trạng: Điện di, đắp mặt nạ, chiếu ánh sáng,...
4 combo lấy nhân mụn tại O2 SKIN
Lưu ý: Đối với Combo có Peel hoặc IPL bắt buộc phải được bác sĩ thăm khám và chỉ định nhằm đảm bảo an toàn cho làn da và mang lại hiệu quả tối đa.
1️⃣ Combo lấy nhân mụn + Điện di
Phù hợp mụn nhẹ. Giúp dịu da nhanh, hỗ trợ thuốc thấm thấu tốt hơn.
2️⃣ Combo Lấy nhân mụn + Mặt Nạ + Ánh Sáng + Điện di
Phù hợp da nhạy cảm, dễ đỏ. Giảm sưng rõ rệt, kiểm soát vi khuẩn.
3️⃣ Combo Lấy nhân mụn + Peel da
Phù hợp da dày sừng, mụn ẩn sâu, thâm đen. Làm sạch thoáng nang lông, giảm thâm, ngừa tái phát.
4️⃣ Combo Lấy nhân mụn + IPL + Điện di
Phù hợp da nhờn, thâm đỏ (PIE). Giảm thâm, giúp da đều màu khỏe mạnh.
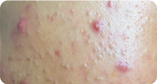
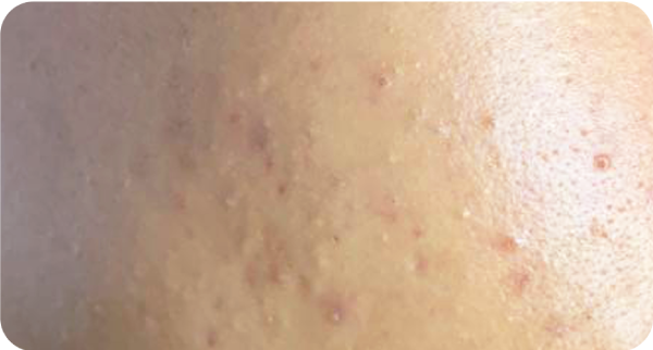
Hiệu quả trị mụn của khách hàng
sau khi đến phòng khám điều trị





















Đội ngũ 30+ bác sĩ da liễu O2 SKIN
luôn sẵn sàng giúp bạn
Không chỉ loại bỏ nhân mụn mà còn hiểu rõ và kiểm soát mụn hiệu quả
3 bước thăm khám tại O2 SKIN
1️⃣ Soi da và đánh giá tình trạng
Chỉ xử lý mụn đủ điều kiện. Đảm bảo an toàn cho nền da.
2️⃣ Chỉ định phác đồ điều trị
Phục hồi phù hợp nền da. Không áp dụng đại trà, tối ưu hiệu quả trị liệu.
3️⃣ Theo dõi sát sao, hướng dẫn chăm sóc da tại nhà
Đảm bảo tiến trình hồi phục ổn định và hướng dẫn chăm sóc da ngừa thâm sẹo.
Chọn O2 SKIN
Chọn trị mụn hiệu quả và tiết kiệm
Bạn không cần thử nghiệm điều trị ở bất cứ đâu, không phải tự tìm hiểu mà không biết hiệu quả tới đâu. Tại O2 SKIN, bác sĩ sẽ giúp bạn giải quyết tất cả nỗi lo về mụn.
TỰ ĐIỀU TRỊ
-
Chi phí ban đầu thấp (vài trăm nghìn)
-
Thiếu tư vấn chuyên môn, dễ điều trị sai
-
Chi phí kéo dài cao, khó kiểm soát
-
Rủi ro rất cao: để lại sẹo rỗ, vết thâm và da mỏng yếu (tốn kém thêm gấp 5-10 lần)
-
Xử lý tạm thời, mụn dễ quay lại và nặng hơn, lãng phí
TRỊ MỤN KHOA HỌC
-
Chi phí rõ ràng, dự trù được
-
Luôn có chuyên gia đồng hành
-
Thanh toán theo buổi, minh bạch
-
Rủi ro thấp: được bác sĩ da liễu theo dõi sát sao và ngăn ngừa các biến chứng
-
Da khỏe đẹp lâu dài, kiểm soát mụn hiệu quả, tiết kiệm
Khách hàng chia sẻ cảm nhận
sau khi trị mụn tại O2 SKIN
Hơn 589.000 khách hàng đã tin chọn,
và trị mụn thành công tại O2 SKIN
10+ năm trị mụn chuẩn Y khoa
và những con số biết nói
30+ Bác sĩ da liễu
chuyên môn cao và đầy nhiệt huyết
Hơn 589.000 khách hàng
đã điều trị mụn thành công
79% khách hàng mới
do bạn bè/người thân giới thiệu
Nhà thuốc đạt chuẩn GPP
chuyên cung cấp Dược Mỹ Phẩm chính hãng
Giải đáp thắc mắc khi lấy nhân mụn
cùng Bác sĩ da liễu
Lấy đúng loại mụn, đúng kỹ thuật và đúng thời điểm giúp đẩy nhanh quá trình trị mụn một cách đáng kể. Dưới đây là 4 lợi ích lấy nhân mụn mà bạn cần biết:
- Làm sạch da: Lấy nhân mụn giúp da sạch sâu và thông thoáng lỗ chân lông, ngăn ngừa mụn mới nổi và tăng khả năng hấp thụ dưỡng chất đặc trị.
- Hạn chế viêm nhiễm: Nặn mụn đúng cách giúp ngừa mụn phát triển và lây lan sang vùng da khác, giảm nguy cơ viêm nhiễm.
- Tăng hiệu quả trị mụn: Da sau khi được làm sạch sẽ giúp Dược Mỹ Phẩm thẩm thấu sâu và tác động mạnh vào vùng bị mụn giúp chữa trị những tổn thương do mụn gây ra và tái tạo da nhanh chóng.
- Rút ngắn thời gian điều trị: Lấy nhân mụn kết hợp sử dụng thuốc bôi giúp rút ngắn đến 50% thời gian trị mụn.
Để đảm bảo an toàn cho làn da của bạn, việc lấy nhân mụn tại một cơ sở/ phòng khám uy tín là rất quan trọng!
Tùy vào tình trạng da mà bác sĩ sẽ chỉ định nên lấy nhân mụn 1 tháng bao nhiêu lần. Thông thường, với mụn ẩn, mụn đầu đen nhiều thì tần suất 2 - 4 tuần/lần.
Thực tế, nhân mụn cứng tích tụ lâu ngày & nặn mụn sai cách mới chính là nguyên nhân làm giãn nở thành lỗ chân lông. Khi được lấy ra đúng cách, nang lông sẽ thông thoáng và có không gian để co lại tự nhiên. Tại O2 SKIN, chúng tôi kết hợp điện di lạnh sau khi lấy nhân để hỗ trợ se khít lỗ chân lông ngay lập tức.
Trong 24h đầu, bạn chỉ nên rửa mặt bằng nước muối sinh lý hoặc nước lọc sạch. Tránh tiếp xúc trực tiếp với ánh nắng mặt trời và khói bụi. Tuyệt đối không tự ý dùng tay sờ lên các vết mụn vừa lấy. Sau 2-3 ngày, khi các vết thương nhỏ đã khép miệng, bạn có thể quay lại quy trình dưỡng da nhẹ nhàng với serum phục hồi và kem chống nắng.
Tham khảo ngay 5 tiêu chí chọn cơ sở uy tín dưới đây:
1/ Có bác sĩ da liễu trực tiếp thăm khám (tốt nhất là medical spa, phòng khám hoặc bệnh viện da liễu) để mỗi khách hàng được xây dựng phác đồ điều trị cá nhân hóa, phù hợp với nguyên nhân gây mụn, cơ địa và tiền sử bệnh.
2/ Quy trình điều trị chuẩn Y khoa do chính bác sĩ nhiều năm kinh nghiệm xây dựng, cải thiện và tối ưu để đảm bảo hiệu quả và an toàn lâu dài.
3/ Đội ngũ Điều dưỡng & Dược sĩ được đào tạo chuyên sâu, tư vấn kỹ lưỡng, hướng dẫn chăm sóc da sau điều trị, nói đúng làm đúng giúp bạn chủ động ngừa mụn tái phát hiệu quả, không chèo kéo, ép buộc hay bán liệu trình dài hạn đắt đỏ.
4/ Có nhiều khách hàng đã điều trị mụn thành công.
5/ Nhận được nhiều đánh giá tích cực, chân thật từ khách hàng cũ, phản ánh sự hài lòng cả về dịch vụ và chi phí.


